Carga Imediata
Carga Imediata: Restauração Imediata do Sorriso com Tecnologia de Ponta
A técnica de Carga Imediata tem revolucionado o campo da odontologia, permitindo aos pacientes recuperar funcionalidade e estética em tempo recorde. Se você busca um tratamento eficiente e moderno para restabelecer seu sorriso, este procedimento pode ser ideal para você.
O que é a Carga Imediata?
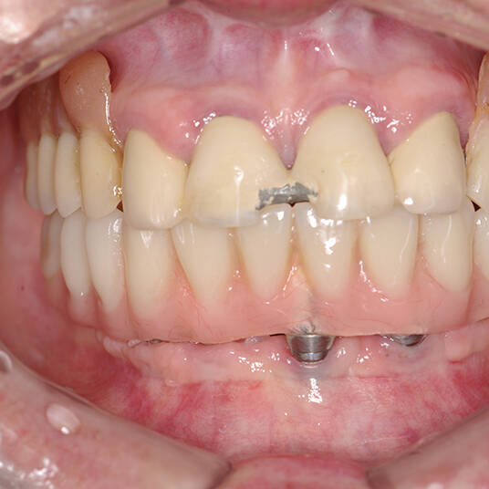
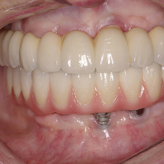
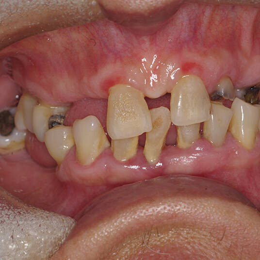
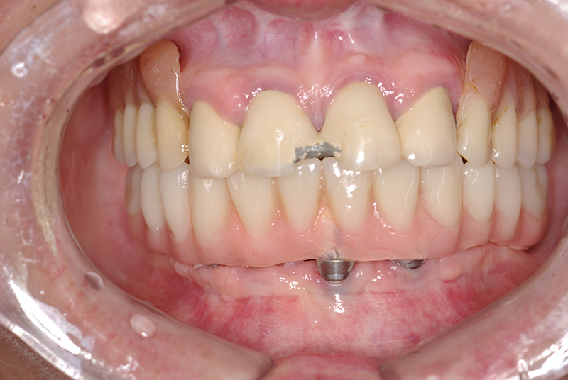
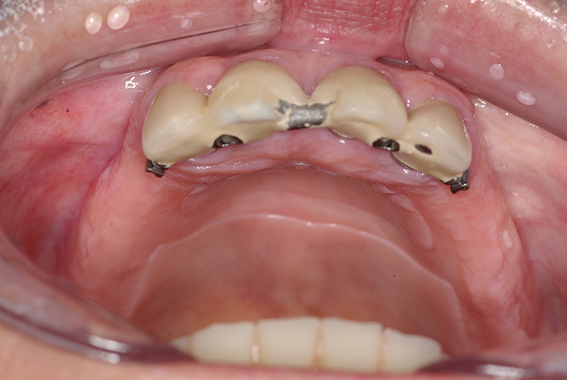
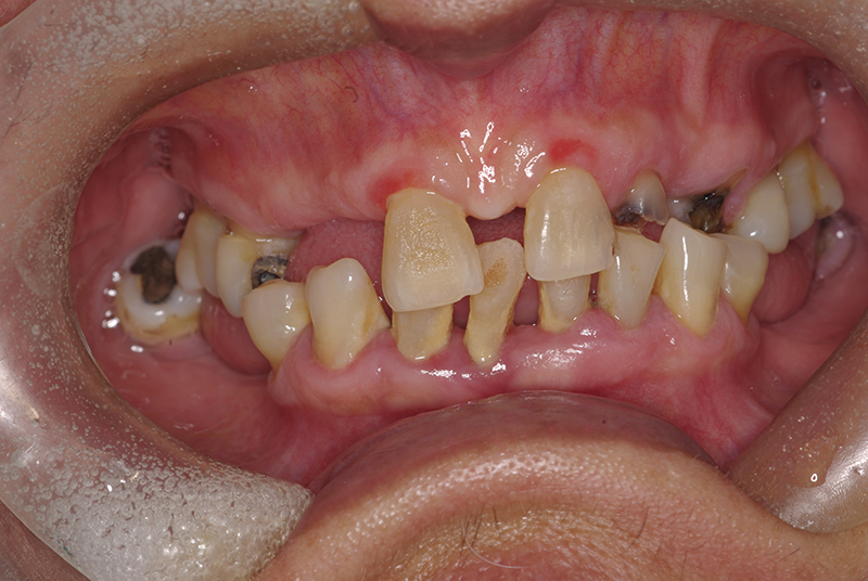
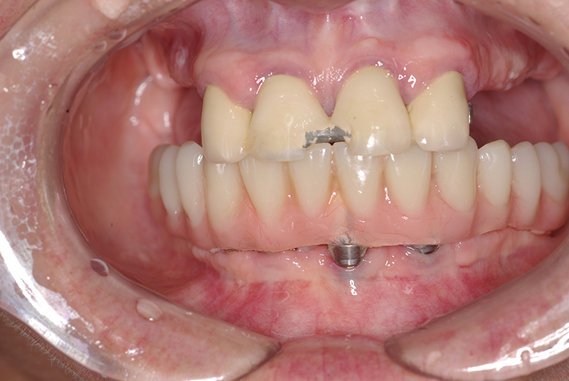
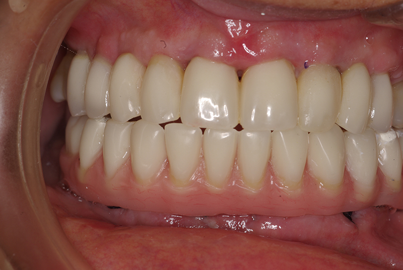
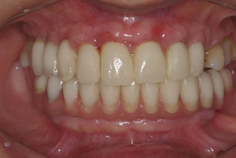
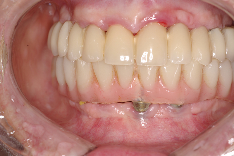
A Carga Imediata é uma técnica odontológica avançada que permite a colocação de uma prótese dentária fixa logo após a cirurgia de instalação dos implantes ou em poucos dias. Isso elimina a espera tradicional de meses para a integração completa do implante ao osso, oferecendo uma solução rápida e segura para restaurar dentes perdidos.
Como funciona a Carga Imediata?
- Avaliação Inicial: Um exame detalhado da saúde bucal e da qualidade óssea do paciente é realizado.
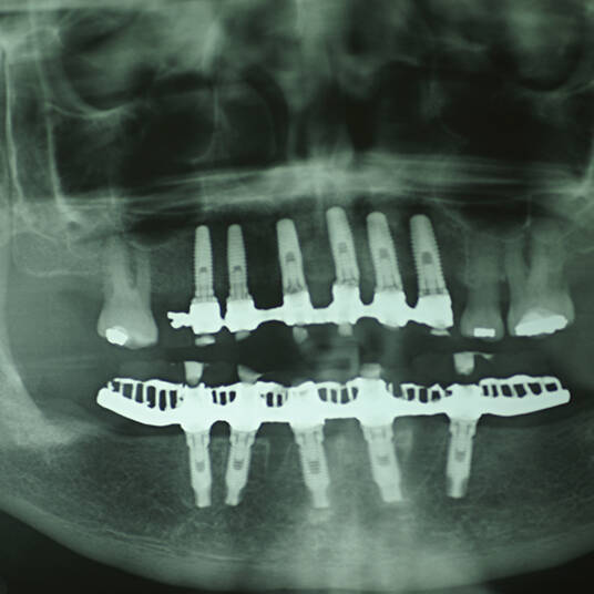
- Planejamento Digital: Com o auxílio de tecnologias como tomografias e softwares 3D, a posição dos implantes é planejada com precisão.
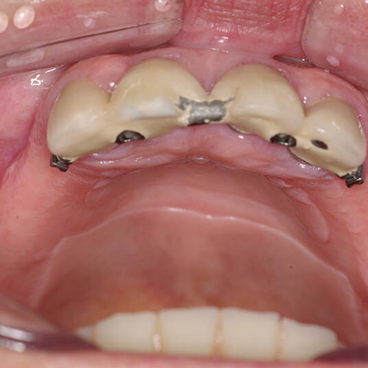
- Cirurgia de Instalação dos Implantes: Os implantes são fixados no osso maxilar ou mandibular, proporcionando uma base sólida para a prótese.
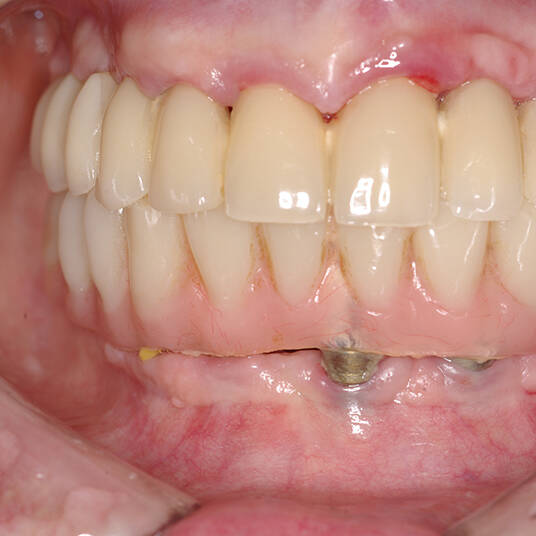
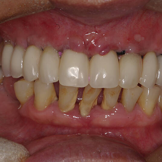
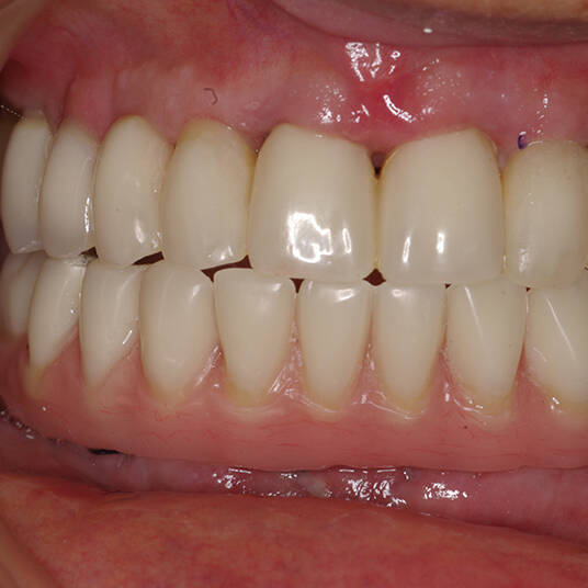
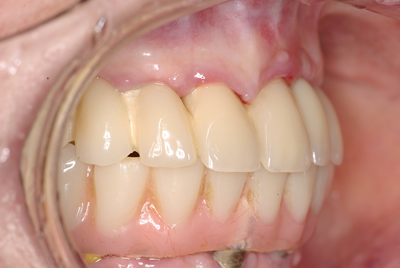
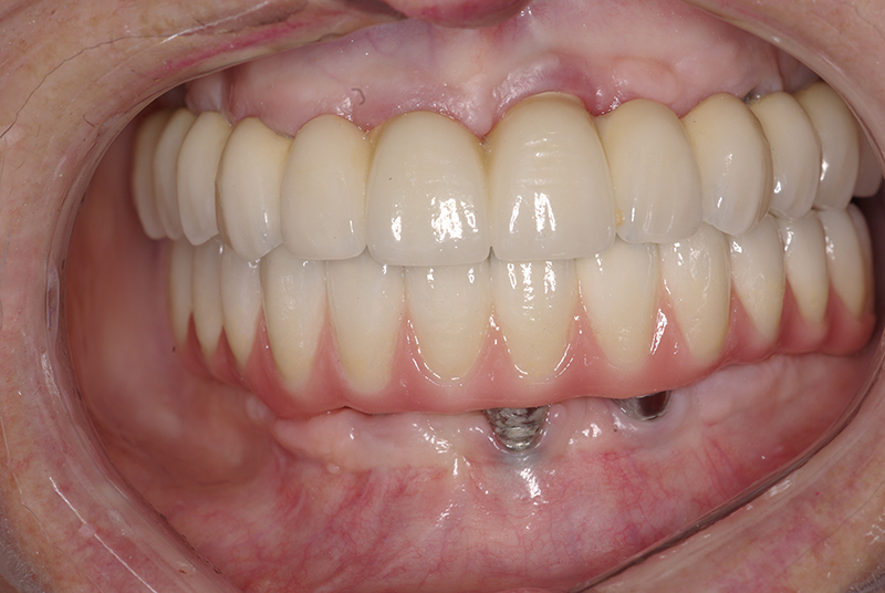
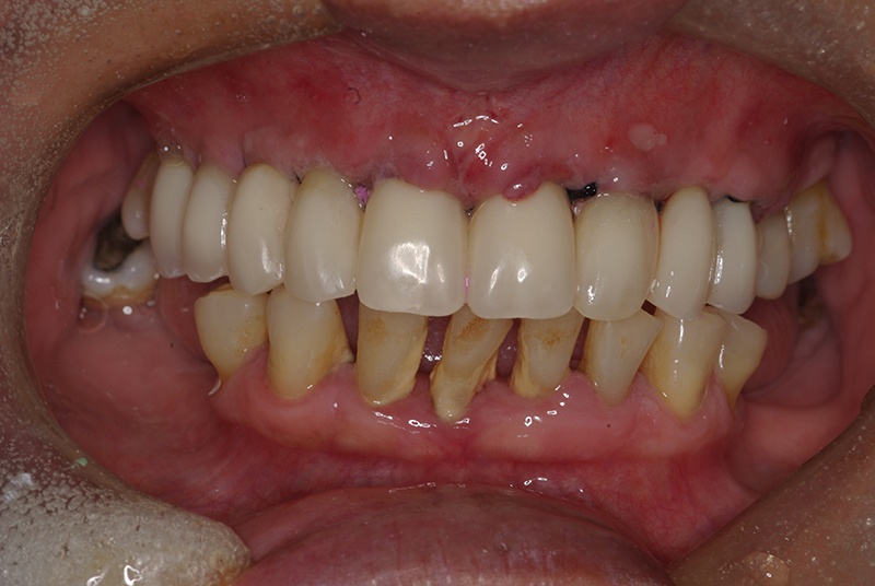
- Fixação da Prótese: Em até 72 horas após a cirurgia, a prótese provisória é instalada, permitindo que o paciente recupere a funcionalidade e a estética imediatamente.
Quais são os benefícios da Carga Imediata?
- Recuperação rápida: O paciente sai do consultório com um sorriso renovado em questão de dias.
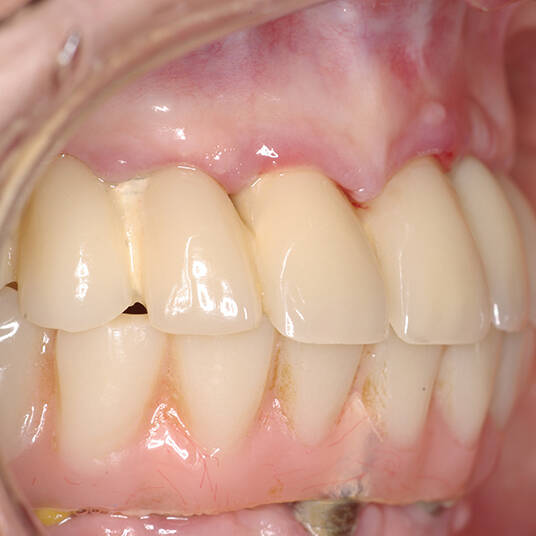
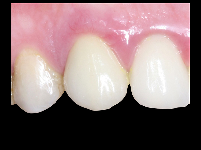
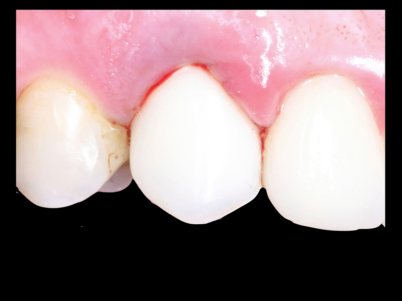
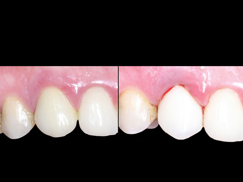
- Conforto e Estética: A prótese provisória é funcional e visualmente semelhante aos dentes naturais.
- Menos etapas clínicas: O procedimento reduz o número de visitas ao dentista.
- Preservação óssea: A técnica estimula o osso, prevenindo sua reabsorção, comum em casos de perda dentária.
- Melhora da autoestima: O impacto positivo de um sorriso completo é imediato, melhorando a qualidade de vida.
Quem pode fazer o tratamento de Carga Imediata?
Embora seja uma solução moderna, nem todos os pacientes são candidatos ideais para a Carga Imediata. O sucesso do tratamento depende de fatores como:
- Quantidade e qualidade do osso disponível.
- Ausência de infecções ou doenças periodontais ativas.
- Condições gerais de saúde que favoreçam a cicatrização.
Por isso, uma avaliação personalizada com um especialista é essencial para determinar se a técnica é indicada para o seu caso.
Tecnologia e Especialização: O diferencial da Clínica Pontes Odontologia
Na Clínica Pontes Odontologia, unimos experiência e tecnologia para oferecer tratamentos de excelência. Utilizamos equipamentos de última geração e contamos com profissionais altamente qualificados para garantir resultados seguros e duradouros.Se você deseja recuperar seu sorriso com rapidez e qualidade, agende uma consulta conosco e descubra se a Carga Imediata é a melhor opção para você.
























