Ortodontia
Ortodontia: Sorriso Alinhado, Saúde Renovada
A Ortodontia é uma das especialidades mais conhecidas da odontologia, voltada para a prevenção, diagnóstico e correção de problemas relacionados ao alinhamento dos dentes e ao desenvolvimento das estruturas faciais. Mais do que estética, a Ortodontia é essencial para garantir a saúde bucal e a funcionalidade correta da mastigação.
O que é Ortodontia?
A Ortodontia se concentra no estudo e tratamento de problemas dento-faciais, como:
- Alinhamento inadequado dos dentes: Incluindo apinhamento, dentes espaçados ou desalinhados.
- Problemas de mordida (oclusão): Mordida cruzada, aberta, profunda ou outros tipos de desarmonia entre os arcos dentários.
- Crescimento facial anormal: Alterações no desenvolvimento da mandíbula e maxila.
Além de corrigir problemas já existentes, a Ortodontia também atua na prevenção, evitando complicações futuras com intervenções precoces.
Por que buscar tratamento ortodôntico?
Os benefícios de um tratamento ortodôntico vão muito além da estética. Veja algumas razões para considerar o alinhamento dos dentes:
-
- Melhoria da função mastigatória: Dentes alinhados permitem uma mastigação mais eficiente.
- Prevenção de problemas bucais: Dentes desalinhados são mais difíceis de limpar, aumentando o risco de cáries e doenças gengivais.
- Correção de disfunções da ATM: Oclusões inadequadas podem causar dores e desconfortos na articulação temporomandibular.
- Impacto positivo na autoestima: Um sorriso alinhado promove confiança e bem-estar.
Tratamentos Ortodônticos Disponíveis
Na Clínica Pontes Odontologia, oferecemos diversas opções de tratamento ortodôntico para atender às necessidades de cada paciente:
-
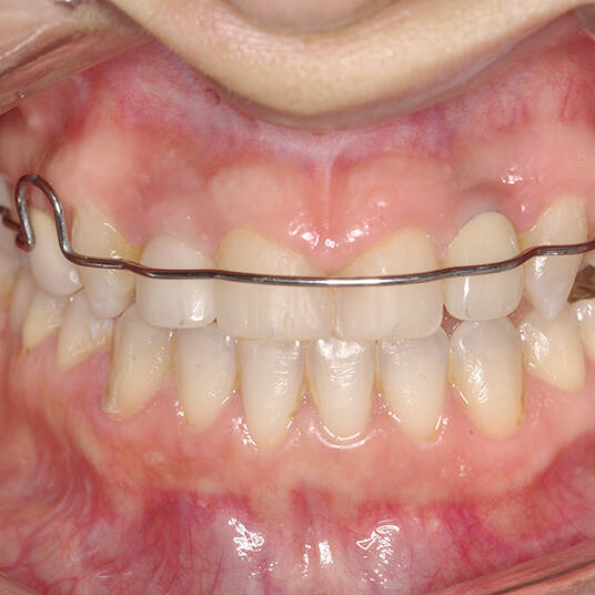
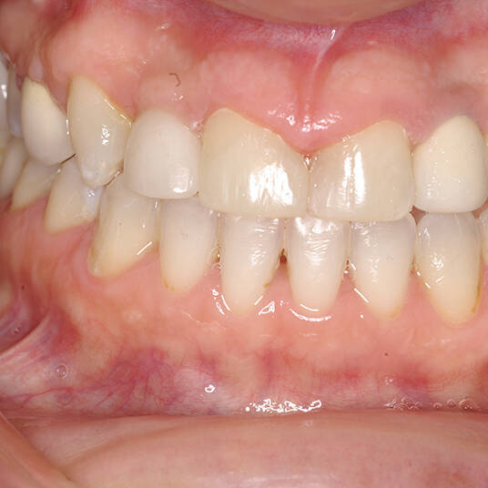
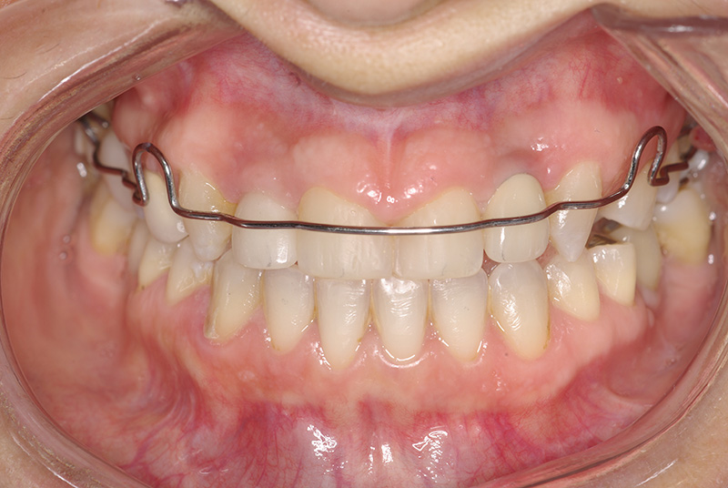
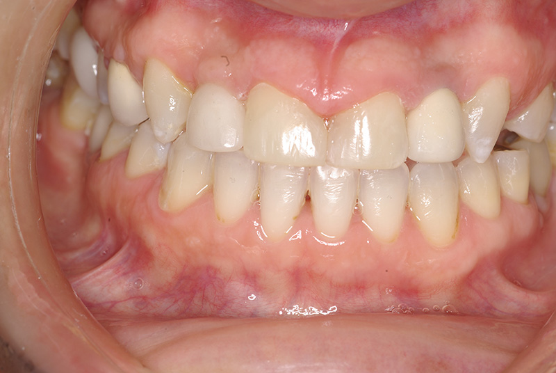
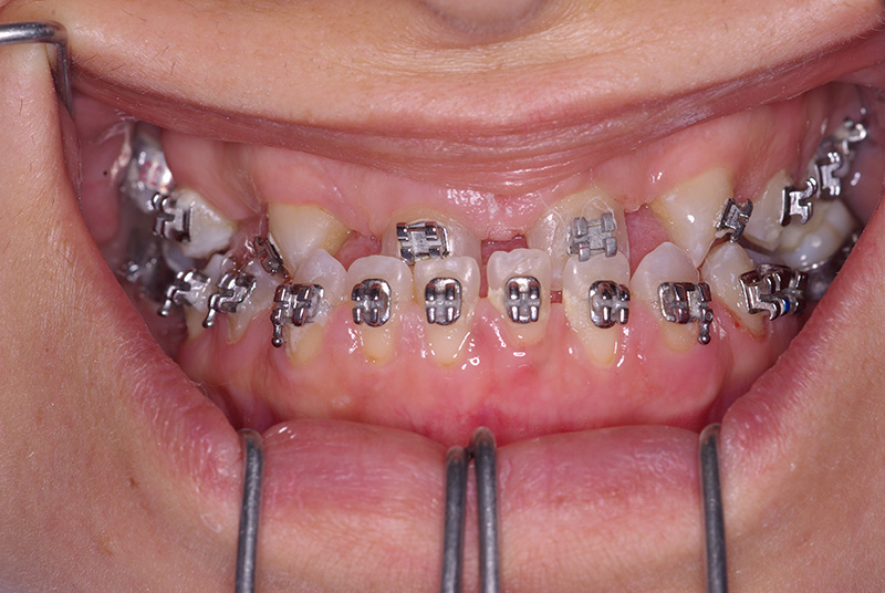
- Aparelhos fixos tradicionais: Ideais para casos mais complexos, utilizam brackets metálicos para corrigir o alinhamento dentário.
- Aparelhos estéticos: Com brackets de porcelana ou safira, são mais discretos, mantendo a eficiência do tratamento.
- Alinhadores invisíveis: Alternativa moderna e confortável, os alinhadores removíveis e quase imperceptíveis são personalizados para cada caso.
- Ortodontia preventiva: Indicada para crianças, busca identificar e tratar problemas precocemente, garantindo um crescimento saudável.
Quando procurar um ortodontista?
É recomendável procurar um especialista em Ortodontia quando:
- Há desalinhamento visível dos dentes.
- Os dentes não se encaixam corretamente ao morder.
- Há dificuldade para falar ou mastigar.
- Aparecem dores frequentes na mandíbula ou próximo aos ouvidos.
- Em crianças, é importante realizar uma avaliação por volta dos 7 anos, período ideal para identificar possíveis alterações no crescimento facial.
Ortodontia na Clínica Pontes Odontologia
Na Clínica Pontes Odontologia, oferecemos tratamentos ortodônticos modernos, personalizados e realizados por especialistas experientes. Com tecnologia de ponta e atenção aos detalhes, garantimos um atendimento de excelência para transformar seu sorriso e melhorar sua qualidade de vida.
Agende sua consulta hoje mesmo e descubra como a Ortodontia pode fazer a diferença no seu sorriso!




