Implantes Dentários
Referência em Implantes Dentários em Fortaleza
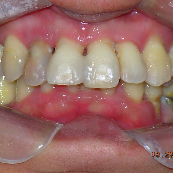
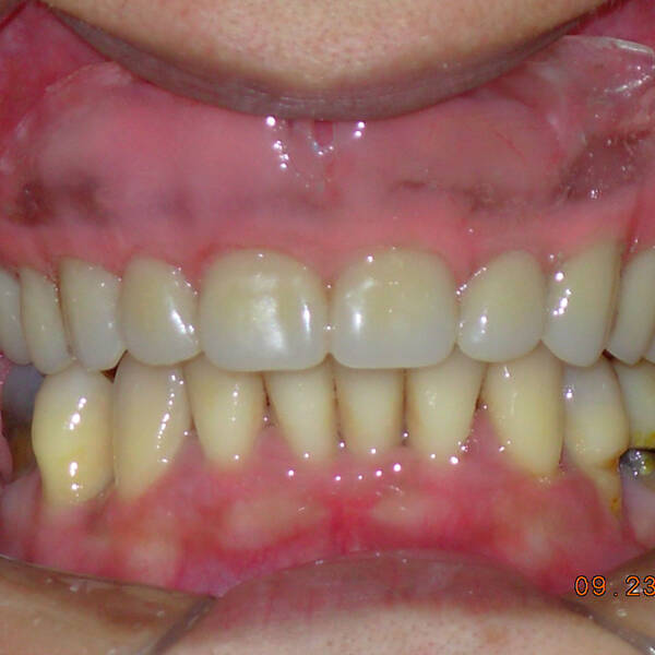
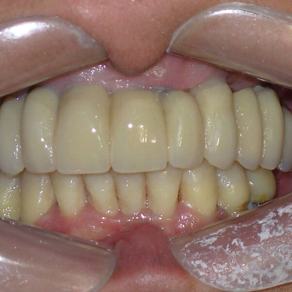
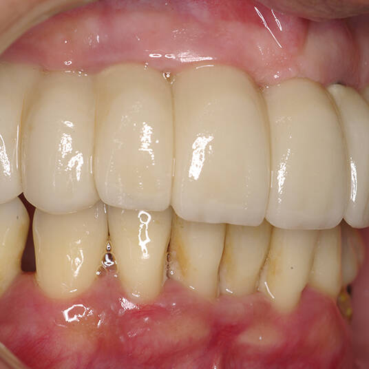
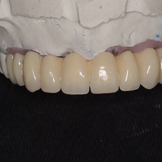
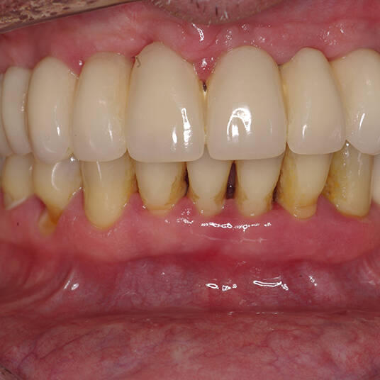
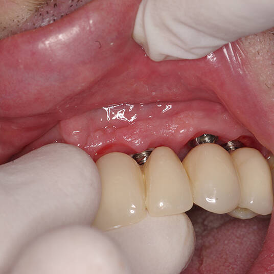
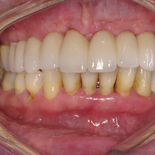
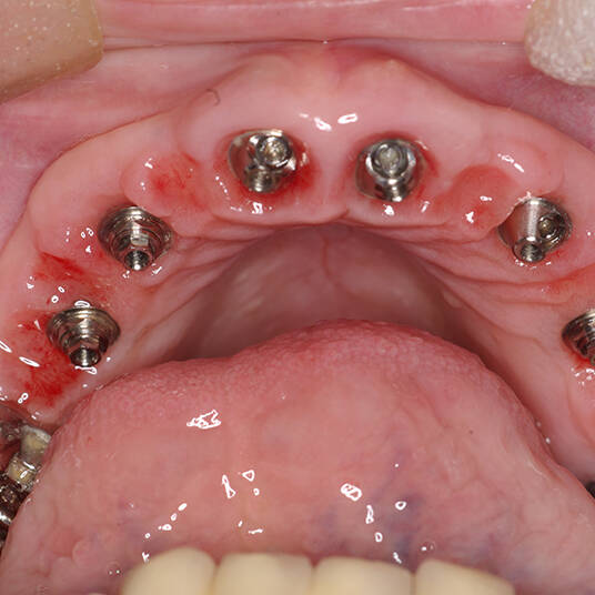
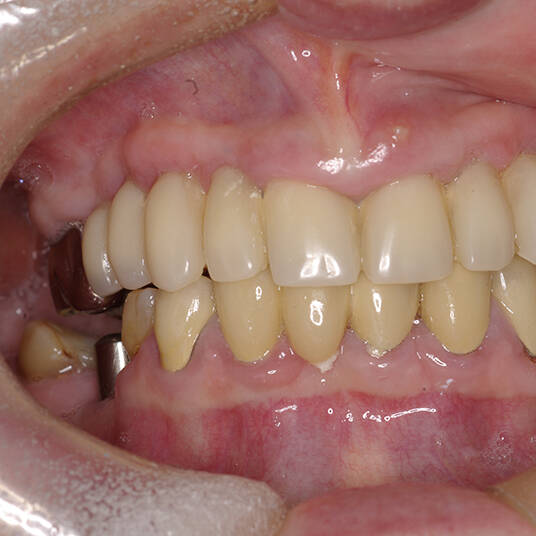
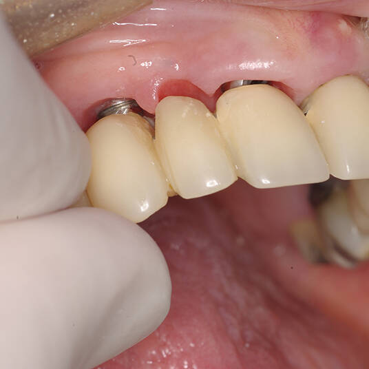
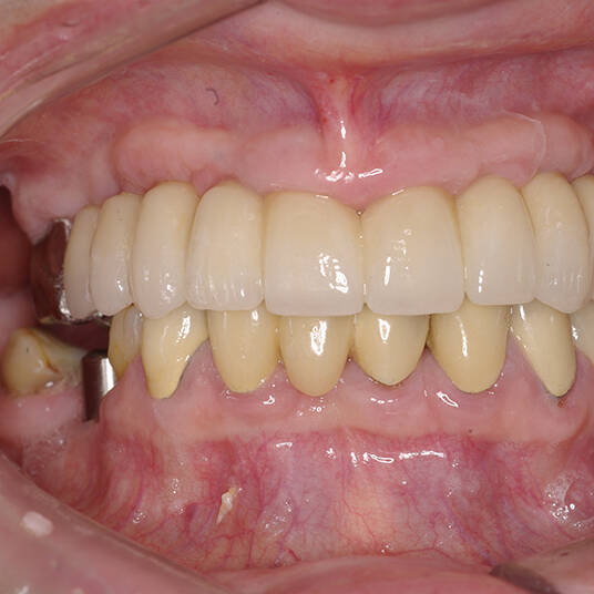
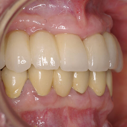
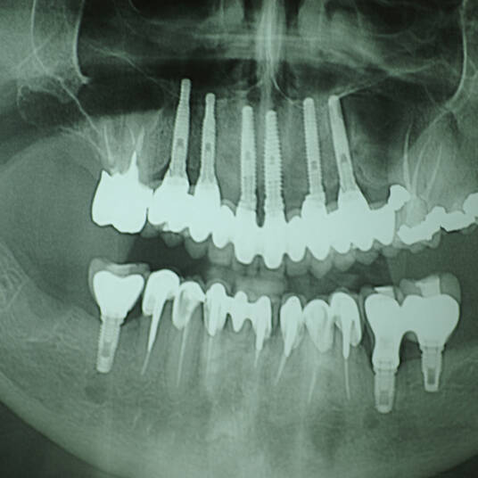
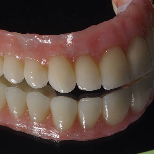
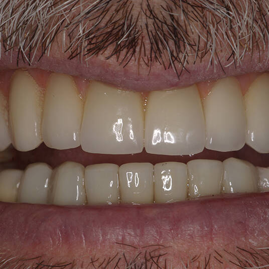
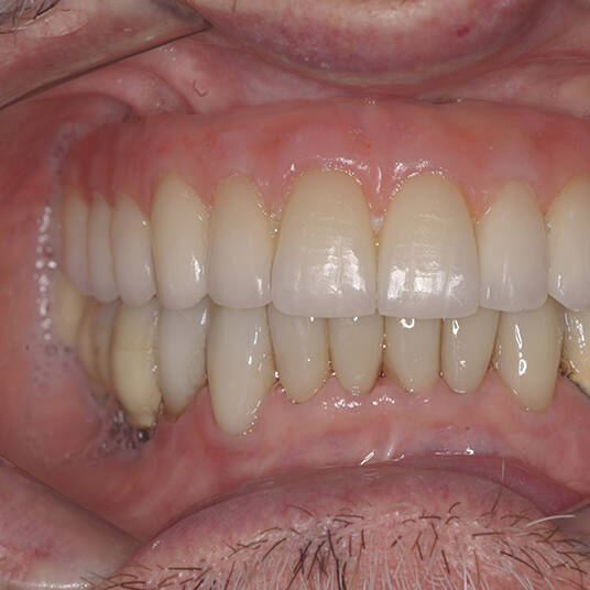
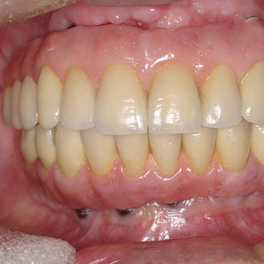
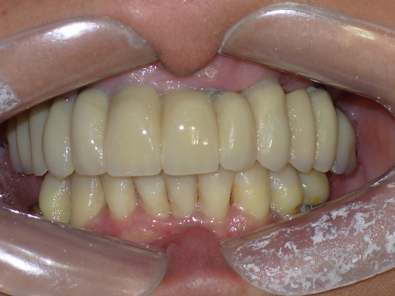
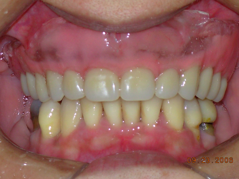
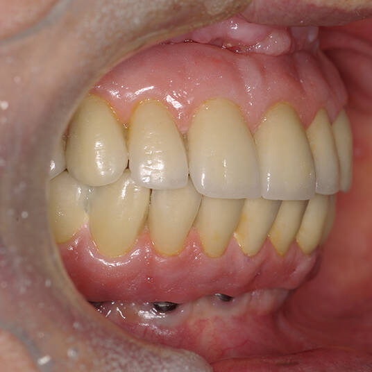
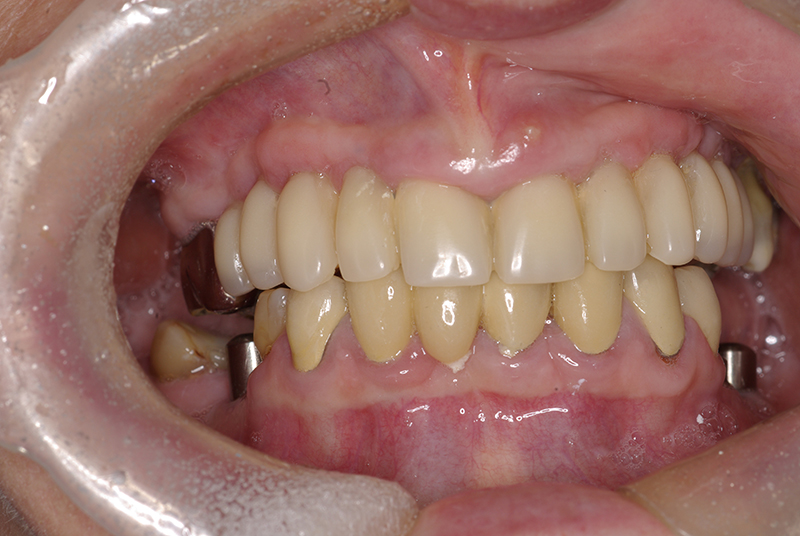
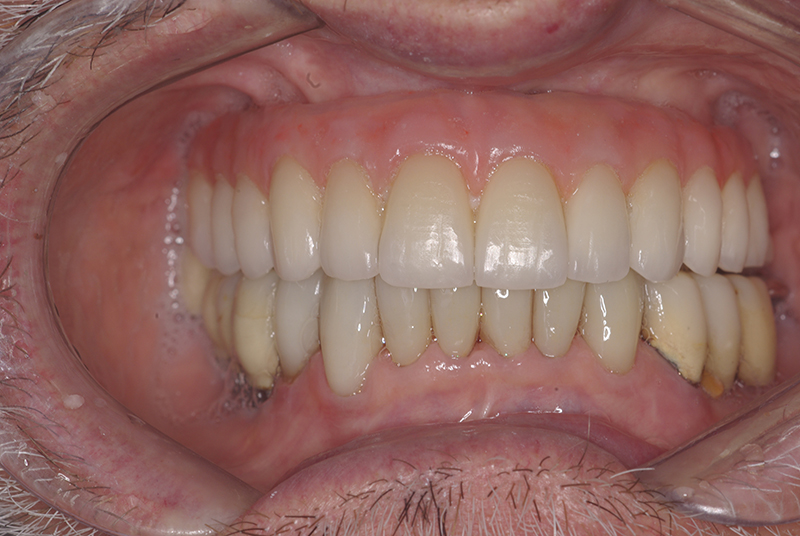
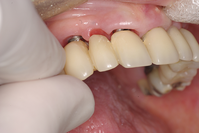
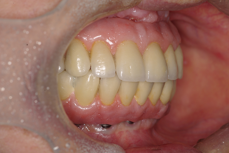
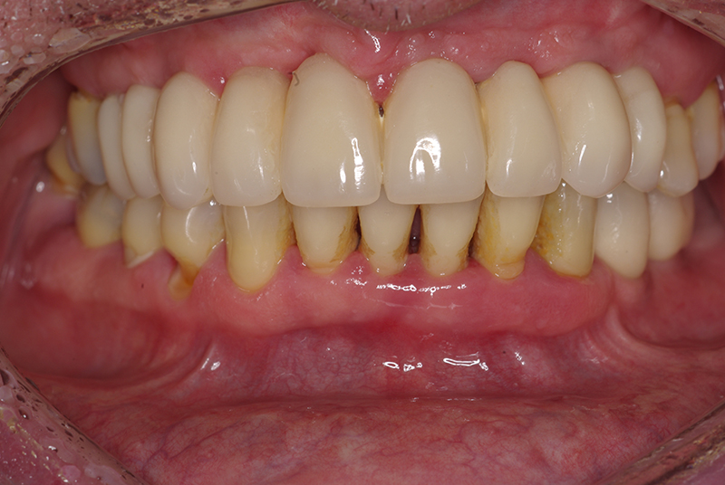
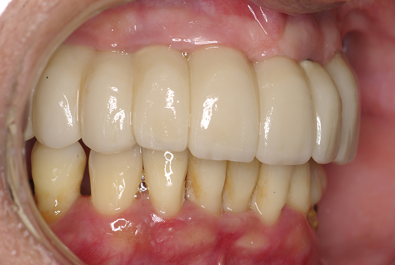
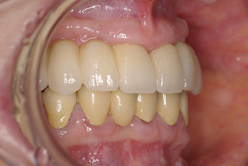
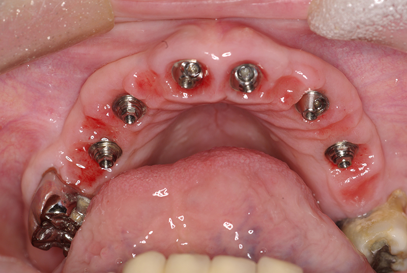
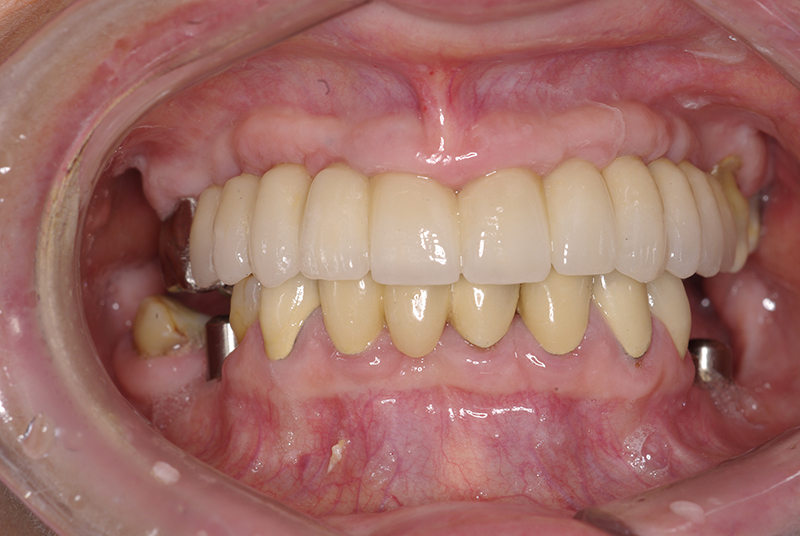
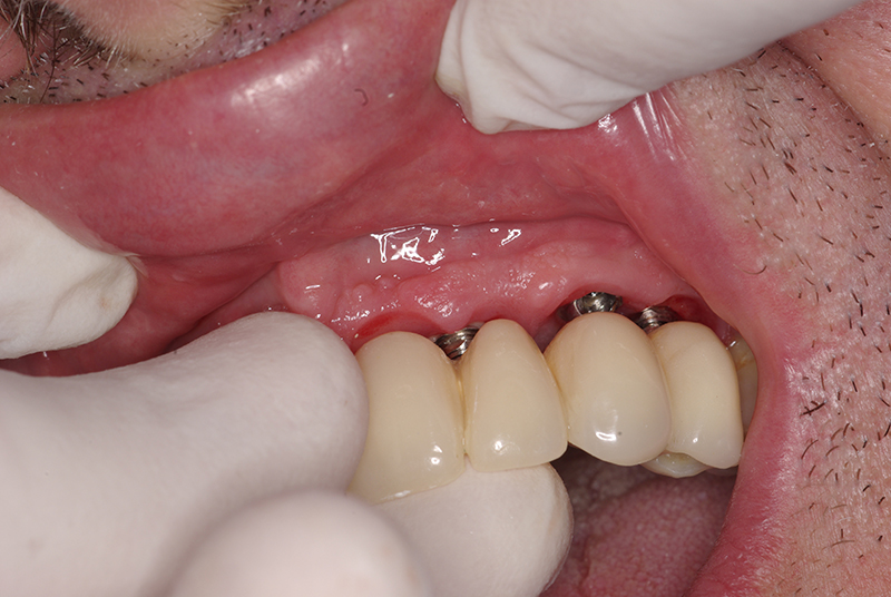
Na Clínica Pontes Odontologia, somos referência em implantes dentários em Fortaleza, oferecendo tratamentos de alta qualidade e tecnologia de ponta. Os implantes dentários são estruturas de titânio posicionadas cirurgicamente no osso maxilar ou mandibular para substituir as raízes dos dentes ausentes. Essa técnica permite a fixação de próteses personalizadas, restaurando a função mastigatória, a estética e a autoestima dos nossos pacientes.
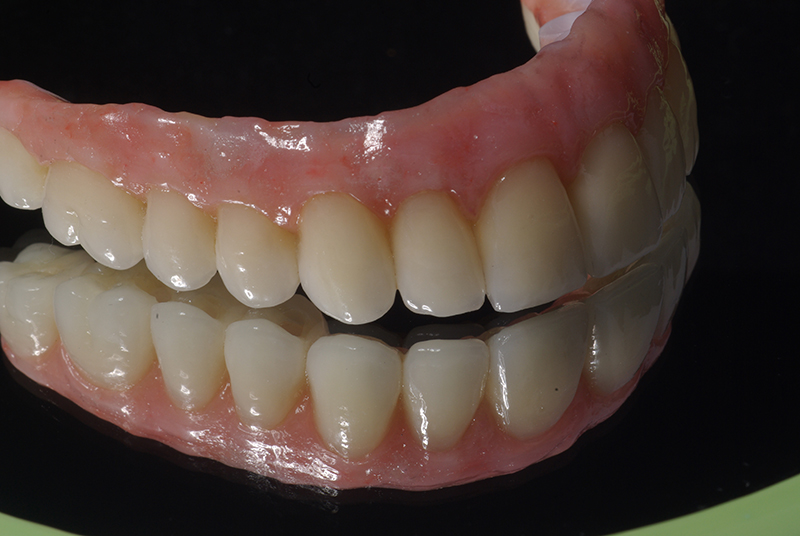
Tecnologia CAD CAM para Maior Precisão e Conforto
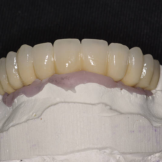
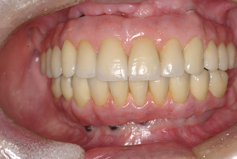
Utilizamos a tecnologia CAD CAM, um sistema avançado que possibilita a confecção precisa das próteses dentárias diretamente sobre os implantes. Esse método inovador garante um ajuste perfeito, um resultado estético superior e proporciona muito mais conforto e durabilidade. Com o CAD CAM, nossos pacientes contam com um processo mais rápido e previsível para alcançar o sorriso desejado.
Compromisso com a Excelência e a Qualidade de Vida
Nosso compromisso é oferecer um tratamento de excelência, com profissionais especializados e tecnologia de última geração para implantes dentários em Fortaleza. Venha nos visitar e descubra por que a Clínica Pontes Odontologia é referência em implantes dentários em Fortaleza, devolvendo sorrisos e qualidade de vida aos nossos pacientes.




















































